Esses dias levei a Zuri para um check-up geral. No ano passado, nessa mesma época, logo após a adoção, fizemos exatamente os mesmos exames. Assim, vou construindo uma base comparativa que me permite observar tendências ao longo do tempo — como, por exemplo, uma creatinina em ascensão progressiva, que poderia sinalizar problema renal futuro.

Como a Zuzu está clinicamente bem — bom apetite, ativa, sem sinais aparentes de dor, cocô e xixi normais — e ainda é jovem, com cerca de 3 anos, solicitei um painel básico, porém abrangente. Para avaliar a função renal, pedi ureia, creatinina e urinálise. Para o fígado, a ALT, importante marcador de integridade hepatocelular. Para acompanhar se a suplementação está adequada, as dosagens de cálcio total e cálcio iônico. Para o perfil lipídico, colesterol total e triglicérides. Para decidir sobre a necessidade de revacinação com a vacina múltipla, solicitei sorologia para três viroses consideradas “core” (essenciais) — parvovirose, hepatite infecciosa canina e cinomose — por meio do exame Vaccicheck. Além disso, o hemograma foi realizado para investigar possíveis sinais de anemia, inflamação ou infecção. E, para avaliar morfologia e aspecto dos órgãos internos — rins, bexiga, vesícula biliar, intestinos, pâncreas e baço — fizemos uma ultrassonografia abdominal.
Os resultados indicam que, de forma geral e dentro do que nos propusemos a avaliar, a baixinha está bem. Ainda assim, pode ser prudente manter monitoramento periódico da saúde renal e talvez estimular um pouco mais sua ingestão hídrica, o que pode contribuir para reduzir discretas elevações de ureia, diminuir a densidade urinária (o grau de concentração da urina) e minimizar a deposição de minerais nos rins, além de proteger o tecido renal no médio e longo prazo.
Exames solicitados, processados e interpretados com critério são ferramentas valiosíssimas. Eles nos permitem identificar alterações, reconhecer padrões e detectar tendências precocemente — muitas vezes em fases nas quais ajustes de manejo podem atuar prevenindo ou retardando a evolução para doenças.

Hemograma
A série vermelha, que avalia os glóbulos vermelhos, está dentro da normalidade, sem indícios de de anemia. Na série branca, que analisa as células de defesa, a contagem de neutrófilos segmentados aparece discretamente abaixo do valor de referência deste laboratório, mas permanece dentro da faixa considerada normal por outros centros diagnósticos de referência. Considerei um hemograma normal.
Creatinina
A creatinina é um importante marcador da função renal e sofre menos influência do teor de proteína da dieta e do grau de hidratação que a ureia. No ano passado, na mesma época, a Zuri apresentou 1,18 mg/dL; agora, 1,17 mg/dL. Trata-se de um valor adequado, estável ao longo do tempo e que deve sempre ser interpretado considerando também que a baixinha é bem musculosa.
Ureia
A ureia foi de 58,85 mg/dL, discretamente acima do valor de referência deste laboratório (56). Vale lembrar que a ureia é bastante influenciada pelo grau de hidratação e pelo consumo de proteína na dieta. A Zuri estava em jejum de sólidos há 12 horas, não costuma beber água quando não se alimenta e o dia estava quente. Além disso, sua dieta tem teor proteico superior a 45%. Como a creatinina está normal e a urina apresenta excelente capacidade de concentração, não me preocupei.

ALT (TGP)
A ALT é um dos principais marcadores de integridade hepatocelular. O valor está dentro da normalidade.
Cálcio total e cálcio iônico
Esses parâmetros são especialmente relevantes quando oferecemos Alimentação Natural suplementada em casa, pois ajudam a avaliar se a suplementação de cálcio está adequada. O cálcio total mensura a fração ligada à albumina e outras proteínas plasmáticas, enquanto o cálcio iônico avalia a porção livre, biologicamente ativa e realmente disponível para os tecidos. Ambos estão dentro da normalidade.
Triglicérides
O valor foi de 28 mg/dL, considerado normal baixo. Mesmo com uma dieta que inclui diferentes fontes de gordura e pequena quantidade de carboidrato de índice glicêmico moderado, os níveis permanecem excelentes. A alta atividade física, a boa composição corporal e a suplementação diária com ômega-3 provavelmente contribuem para esse perfil metabólico.
Colesterol total
Também está dentro da normalidade, reforçando um bom equilíbrio metabólico.

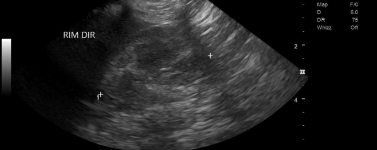
Ultrassonografia abdominal
Vemos uma pequena quantidade de lama biliar móvel, ocupando cerca de 20% da vesícula. Como ela estava em jejum prolongado, é comum que haja maior concentração de bile. O sedimento é discreto, móvel, não há sinais de inflamação, espessamento de parede, obstrução ou presença de cálculos, portanto não vi motivo para preocupação. O baço está discretamente aumentado, algo comum de observar em cães que já tiveram doença do carrapato, como é o caso da Zuri.
Ultrassonografia abdominal – rins
Ambos os rins apresentam dimensões preservadas, com discreta indefinição dos limites corticomedulares e pequenos pontos de mineralização em recessos pélvicos. Como a função renal está preservada, com adequada capacidade de concentração urinária e bioquímica normal, esses achados serão apenas acompanhados anualmente.
Sorologia vacinal
A última vacina múltipla (V8) foi aplicada em novembro de 2024. O exame Vaccicheck demonstra que ela permanece protegida contra cinomose, parvovirose e hepatite infecciosa canina, não havendo necessidade de reforço neste momento. A vacina contra raiva será repetida porque os estabelecimentos que frequentamos exigem reforço anual e a sorologia para raiva não é facilmente acessível. Um detalhe importante: a graduação atribuída pelo exame não define o grau de proteção; qualquer resultado igual ou superior a “1” se correlaciona com imunidade protetora.

Urinálise (urina tipo I)
A amostra foi coletada durante o primeiro passeio da manhã, após 12 horas de jejum de sólidos. O pH está adequado, o que é esperado em cães que recebem dieta rica em carnes. A densidade urinária de 1,046 indica excelente capacidade de concentração renal. Pequenas quantidades de proteína podem aparecer em urina mais concentrada, especialmente na primeira urina do dia. Não há sinais de infecção, cristais ou cilindros, o que é ótimo.
Considerações finais
Para uma cadela de três anos, sem qualquer queixa clínica, esses exames compõem um check-up adequado. Como ela frequenta ambientes externos com regularidade, realizo exames coproparasitológicos completos semestralmente. A partir da meia-idade, pretendo incluir avaliações cardiológicas e ampliar gradualmente o painel metabólico e renal. É sempre importante lembrar que exames laboratoriais são uma fotografia no tempo e jamais devem ser analisados de forma isolada, mas sim à luz de resultados prévios, da dieta, da idade, da raça, do manejo e, sobretudo, da condição clínica de cada peludo.
Sylvia Angélico
Médica Veterinária
pós-graduada em Nutrição Animal
CRMV-SP 29945
Comunicado Cachorro Verde
As informações divulgadas em nossas postagens possuem caráter exclusivamente educativo e não substituem as recomendações do médico-veterinário do seu cão ou gato. Por questões ético-profissionais, a Dra. Sylvia Angélico não pode responder certas dúvidas específicas sobre questões médicas do seu animal ou fazer recomendações para seu pet fora do âmbito de uma consulta personalizada. Protocolos de tratamento devem sempre ser elaborados e acompanhados pelo médico-veterinário de sua confiança.
Obrigada por acompanhar os canais do Cachorro Verde!